随着口腔健康意识的提升,越来越多的人开始关注牙齿缺失问题。牙齿种植作为目前**的缺牙修复方式,已经成为众多患者的首选方案。西安伊美尔医疗美容医院作为西北地区知名的口腔美容机构,凭借专业的医疗团队和先进的技术设备,在牙齿种植领域积累了良好的口碑。本文将详细介绍该院在牙齿种植方面的特色优势。

一、西安伊美尔医疗美容牙齿种植技术优势
西安伊美尔医疗美容医院采用国际先进的数字化种植技术,通过3D口腔CT扫描和计算机辅助设计,能够精准规划种植体位置和角度。医院引进了瑞士士卓曼、韩国登腾等国际知名种植系统,确保种植体的质量和稳定性。术前医生会进行详细的口腔检查,评估患者的牙槽骨条件,制定个性化的种植方案。手术过程中采用微创技术,减少患者痛苦,缩短恢复时间。术后还会提供专业的护理指导,确保种植效果长期稳定。

二、西安伊美尔医疗美容医生团队介绍
王敏娟医生作为艾薇美美学口腔中心主任,拥有丰富的临床经验。她是中华口腔医学会会员,同时获得瑞士士卓曼种植体和韩国登腾种植体认证医师资格。王医生擅长前牙美容修复、种植修复等领域,特别注重美学效果与功能性的完美结合。在种植手术中,她能够根据患者的面部特征和咬合关系,设计出最合适的种植方案,确保术后既美观又实用。
医院还拥有一支经验丰富的护理团队,每位护士都经过严格的专业培训,能够为患者提供周到的术前术后护理服务。整个医疗团队注重细节,从消毒隔离到手术操作,都严格按照医疗规范执行,确保医疗安全。
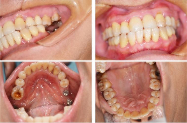
三、牙齿种植案例分享
一位45岁的患者因意外导致前牙缺失,影响了美观和咀嚼功能。来到西安伊美尔医疗美容后,王敏娟医生为其进行了详细检查,发现患者牙槽骨条件良好,适合立即种植。医生采用微创种植技术,在局部麻醉下完成了手术,整个过程仅用时一个小时。术后三个月,患者佩戴了最终牙冠,种植牙与天然牙色泽一致,形态自然,完全恢复了正常的咀嚼功能和美观效果。

另一位62岁的患者多年缺失多颗后牙,导致咀嚼效率下降。经过全面检查,医生为其设计了分段种植方案,先恢复下颌牙齿的咀嚼功能,再解决上颌缺牙问题。通过数字化导板技术,精准植入多颗种植体,术后恢复良好。现在患者能够正常进食,生活质量得到显著提升。

| 西安伊美尔医疗美容牙齿种植项目价格参考 | |
| 项目名称 | 价格参考(元) | 
| 单颗种植牙 | 8000-22000 | 
| 多颗种植牙 | 15000-50000 | 
| 全口种植牙 | 80000-200000 | 
| 即刻种植 | 10000-25000 | 
| 微创种植 | 9000-23000 | 
| 种植体植入 | 5000-15000 | 
| 牙冠修复 | 2000-8000 | 
| 植骨手术 | 3000-10000 | 
| 上颌窦提升 | 5000-15000 | 
| 软组织移植 | 2000-6000 | 
| 注:以上价格仅供参考,具体费用需根据个人情况和治疗方案确定 | |
西安伊美尔医疗美容医院在牙齿种植领域具有明显优势,无论是技术设备还是医生团队都处于行业领先水平。医院注重患者的个性化需求,为每位患者量身定制最适合的种植方案。同时,医院还提供完善的术后随访服务,确保种植牙的长期使用效果。对于有牙齿缺失困扰的患者来说,选择专业可靠的医疗机构进行种植牙修复,是重获健康笑容的重要一步。
如果您对牙齿种植还有任何疑问,或者想要了解更多关于种植牙的详细信息,欢迎前往医院进行面对面咨询。专业医生会根据您的具体情况,给出最合适的治疗建议和方案规划。
医生资讯
医院资讯

佛山自体脂肪填充医院排名公布!哪家医院技术更靠谱?
2025-04-02 05:19:56
南京做牙齿矫正哪些医院靠谱?这份实力排名值得收藏!
2025-06-30 11:50:13
北京清木医疗美容诊所是正规医院吗?脂肪移植与唇部精雕双王牌,二十年老牌医美实力曝光!
2025-10-11 09:26:35
成都自体脂肪隆鼻哪些医院靠谱?TOP5实力机构深度解析!
2025-05-22 08:26:52
广州做自体肋软骨隆鼻好的医院有哪些?正规医疗机构精选推荐
2025-05-20 10:21:49
昆明自体脂肪填充好的医院有哪些?2025最新排行榜,医院实力一目了然
2025-10-28 03:52:53
美条网 备案号:蜀ICP备2025129817号-1