现代牙科技术不断发展,牙齿种植已经成为解决牙齿缺失问题的主流方式。很多人在考虑进行种植牙手术时,最担心的就是种植体是否能够长期稳定使用,会不会出现再次脱落的情况。

其实,牙齿种植手术的成功率相当高,正规专业医疗机构进行的种植牙手术,十年成功率可以达到95%以上。但任何医疗操作都存在一定风险,种植牙也可能因为各种原因出现问题。

一、哪些因素会影响种植牙的长期稳定性
首先需要了解的是,种植牙的成功与否与多个因素密切相关。患者的骨质条件至关重要,如果牙槽骨量不足或者密度不够,就会影响种植体的稳定性。这种情况下,医生可能会建议先进行骨增量手术。

患者的口腔卫生习惯直接影响种植牙的使用寿命。如果术后不注意清洁维护,容易发生种植体周围炎,这是导致种植牙失败的主要原因之一。定期进行专业洁牙和检查非常必要。

医生的技术水平也是关键因素。经验丰富的医生能够准确判断种植位置和深度,选择合适尺寸的种植体,这些都是确保长期成功的重要保障。
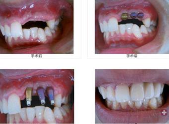
二、种植牙手术失败后如何进行处理
如果确实出现了种植体松动或者脱落的情况,也不用过于担心。现代牙科有多种修复方案可以选择。
对于早期发现的种植体问题,可以通过药物控制和专业清洁来控制炎症,有时候还能挽回。但如果已经出现明显松动,就需要考虑取出种植体,待骨组织愈合后重新种植。
在重新种植前,医生会详细分析失败原因,可能是骨质条件不佳、咬合力过大或者口腔卫生问题。针对性地解决这些问题后,再次种植的成功率仍然很高。
三、宁波市第六医院种植牙专家团队介绍
宁波市第六医院口腔科拥有专业的种植牙医疗团队,其中甘红副主任医师在牙齿种植领域具有丰富经验。甘医生从事口腔临床工作多年,技术精湛,能够根据患者具体情况制定个性化种植方案。
医院引进先进的种植牙系统和完善的消毒设备,确保每个种植手术都在最安全的条件下进行。术前会进行全面的口腔检查和影像学评估,精确规划种植位置和方案。
四、如何预防种植牙出现问题
选择正规医疗机构是首要条件。专业的医院会有完善的术前评估流程,确保患者适合进行种植牙手术。同时要选择经验丰富的医生,这能大大降低手术风险。
术后维护同样重要。要按照医嘱定期复查,做好日常清洁工作,使用牙线、冲牙器等辅助清洁工具。避免咀嚼过硬食物,减轻种植牙的负担。
保持良好的生活习惯也有助于延长种植牙使用寿命。戒烟限酒,控制血糖,这些都能提高种植牙的成功率。
五、种植牙价格参考
不同地区、不同医院的种植牙价格有所差异。一般来说,单颗种植牙的费用包括种植体、基台和牙冠三部分。以下是一些常见牙科项目的价格参考:
| 项目名 | **价 | **价 | 平均价 |
|---|---|---|---|
| 牙齿种植 | 6617 | 19623 | 13120 |
| 皓齿美白 | 1652 | 2294 | 1973 |
| 贵金属烤瓷牙 | 11351 | 21515 | 16433 |
| 舌侧矫正 | 7500 | 19576 | 13538 |
| 牙齿矫正 | 6631 | 20451 | 13541 |
| 自锁托槽矫正 | 11391 | 30646 | 21018 |
| 二氧化锆烤瓷牙 | 6598 | 20453 | 13525 |
| 喷砂洗牙 | 7321 | 19650 | 13485 |
| 全瓷烤瓷牙 | 7407 | 20224 | 13815 |
| 无托槽隐形矫正 | 6686 | 19837 | 13261 |
需要注意的是,价格只是参考,具体费用需要根据个人情况和选择的材料来确定。建议到正规医院进行详细咨询后,再做出决定。
种植牙是一项成熟可靠的技术,只要选择正规医院,配合医生做好术前评估和术后维护,大多数人都能获得长期稳定的使用效果。出现问题时也不要慌张,及时就医处理,通常都能得到很好的解决。
成都发际线种植医院哪家靠谱?最新有哪些?恒博、华西实力上榜! 宁波薇琳医疗美容医院口碑怎么样?2024最新价格收费+医生团队全面解析 宁波美莱微整形注射哪个医生好?沈露芳、吴雅娜等医生都不错 东莞康兴医院医疗美容紧致轮廓价格多少?哪位医生技术好?2025收费详情一览 宁波做鼻综合手术好的医生有哪些?口碑前十上榜,值得挑选 深圳牙齿种植哪家医院好?做牙齿种植需要多少钱?
东莞维多丽亚医疗美容超声炮价格贵不贵?2025收费明细公开 东莞康兴医院抗衰除皱价格表更新,特色项目及医生团队全面解析 成都发际线种植医院哪家靠谱?最新有哪些?恒博、华西实力上榜! 大连去副乳整形医院哪家强?5家实力机构深度解析 东莞安堤薇医疗美容凹陷填充自然塑形不留痕 东莞东城禾美医疗美容正规吗?医院简介_价格费用及医生团队解析 宁波薇琳医疗美容医院紧致轮廓多少钱?效果怎么样?附医生介绍 宁波鄞州恒美口腔门诊部正规吗?医生团队实力强 宁波整形医院哪家好?壹加壹、薇琳、第六医院等排名前十汇总 宁波牙齿矫正医院哪家强?这份详细名单帮你找到最适合的! 福州自体脂肪丰卧蚕哪家医院好?五家实力机构深度解析 郴州自体软骨垫鼻尖哪些医院技术好?市一医院、湘南附属、第三人民医院等推荐
医生资讯
医院资讯

美条网 备案号:蜀ICP备2025129817号-1