说到牙齿缺失,很多人第一时间想到的就是种植牙。确实,种植牙已经成为当今修复缺失牙齿的主流方式之一。但你真的了解什么是牙齿种植吗?知道种植牙需要哪些条件?又该如何选择适合自己的种植方案?

今天我们就来详细聊聊南昌大学第二附属医院口腔科的牙齿种植项目,特别邀请到该院口腔科主任宋莉博士为大家做专业解读。
什么是牙齿种植?它和传统假牙有什么区别?
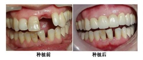
牙齿种植是通过外科手术将人工牙根植入牙槽骨内,待其与骨组织结合后,再在上面安装牙冠的一种修复方式。与传统活动假牙或固定桥相比,种植牙不需要磨损邻牙,咀嚼效率更高,舒适度更好,使用寿命也更长。

南昌大学第二附属医院口腔科主任宋莉表示,种植牙的成功率与患者的骨质条件、全身健康状况以及医生的技术水平密切相关。该院采用先进的数字化导板技术,能够精准定位种植位置,大大提高手术成功率。

哪些人适合做牙齿种植?
一般来说,大多数牙齿缺失的患者都可以考虑种植牙修复。但有以下情况的患者需要特别注意:
1. 患有严重糖尿病、高血压等全身性疾病未得到有效控制的患者
2. 有严重牙周病未经过治疗的患者
3. 颌骨发育尚未完成的青少年
4. 怀孕期和哺乳期女性
5. 有严重吸烟习惯的患者
宋莉主任强调,术前必须进行全面的口腔检查和全身健康评估,确保患者符合种植条件。
南昌大学第二附属医院牙齿种植流程详解

在该院进行牙齿种植通常需要经历以下步骤:
第一步:术前检查与评估。包括口腔CT检查、牙周状况评估、全身健康状况评估等。
第二步:治疗方案设计。医生会根据患者的具体情况制定个性化的种植方案。
第三步:一期手术。将种植体植入牙槽骨内。
第四步:愈合期。等待种植体与骨组织结合,通常需要3-6个月。
第五步:二期手术。安装愈合基台。
第六步:取模制作牙冠。
第七步:戴牙。安装最终牙冠,完成修复。
种植牙术后注意事项
术后护理对种植牙的成功至关重要。宋莉主任建议患者注意以下几点:
术后24小时内不要刷牙漱口,避免刺激伤口
按时服用医生开具的抗生素和止痛药
饮食以软食为主,避免用手术侧咀嚼
定期复诊,保持良好的口腔卫生
戒烟限酒,避免影响愈合
南昌地区牙齿修复项目价格参考
| 项目名 | **价(元) | **价(元) | 平均价(元) |
|---|---|---|---|
| 牙齿种植 | 7136 | 19616 | 13376 |
| 超声波洗牙 | 6689 | 19689 | 13189 |
| 陶瓷托槽矫正 | 7390 | 19628 | 13509 |
| 合金烤瓷牙 | 10531 | 16990 | 13760 |
| 纯钛烤瓷牙 | 6564 | 19552 | 13058 |
| 正畸 | 10462 | 49727 | 30094 |
| 隐形矫正 | 10631 | 27741 | 19186 |
| 金属托槽矫正 | 10907 | 17393 | 14150 |
| 正颌 | 19639 | 149874 | 84756 |
| 树脂贴面 | 6559 | 20369 | 13464 |
需要注意的是,以上价格仅供参考,具体费用会根据患者的口腔状况、选择的种植系统以及修复材料的差异而有所不同。南昌大学第二附属医院作为公立医院,所有收费都是按照物价部门规定执行,透明合理。
为什么选择南昌大学第二附属医院做牙齿种植?
南昌大学第二附属医院口腔科成立于1927年,是江西省最早成立的口腔专科之一。科室拥有宋莉主任领衔的专业团队,她在口腔种植领域有着丰富的临床经验和深厚的学术造诣。
该院引进了国际先进的种植系统和设备,采用数字化导板技术,确保种植位置的精准性。同时建立了严格的无菌操作规范和术后随访制度,为患者提供安全可靠的医疗保障。
牙齿缺失不仅影响美观,更会影响咀嚼功能和口腔健康。选择合适的修复方式很重要,建议有需要的患者到正规医院咨询专业医生,根据自身情况选择最适合的治疗方案。南昌大学第二附属医院口腔科随时为您提供专业的咨询和诊疗服务。
医生资讯
医院资讯
热门文章
广州丽尚医疗美容自体真皮隆鼻价格多少钱?专家团队、技术特色、收费标准一览
2025-10-30 01:00:14北京眼修复王振军与张海明谁修复的好?王振军和张海明做的口碑好一些?
2025-08-30 11:37:38北京永成经典做面部提升多少钱?李传康110000、陈志泉130000
2025-10-06 08:50:41北京市艺星整形美容好不好?精选专家资料、客户口碑来袭
2025-08-11 01:07:29徐州市中心医院鼻部硅胶假体取出怎么样?正规三甲,技术成熟安全有保障
2025-10-19 01:51:08德州双眼皮医院哪家好?2025年双眼皮手术费用及排名前五医院盘点
2025-05-31 11:11:54
美条网 备案号:蜀ICP备2025129817号-1